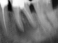
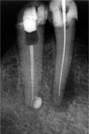
Patient(60):



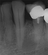
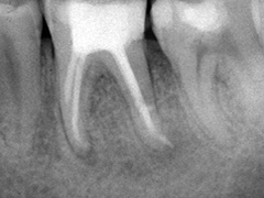
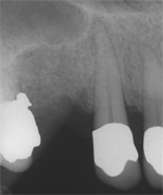
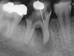
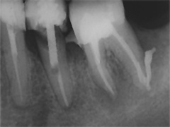
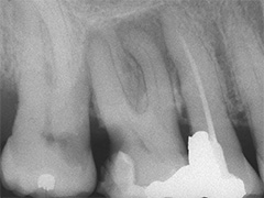
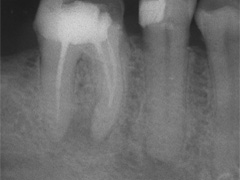
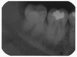
Aufbissempfindlichkeit an 33 veranlasste uns erstmalig in dieser Kieferregion zu röntgen. Mit grossen Augen sahen wir dann an, was uns auch ansah. Einen Knochendefekt dieser Grössenordnung mit seiner schaurigen Aura sieht man zum Glück nicht jeden Tag. Doch, obgleich das Alien dereinst Zahn 34 entsprang, war eine Behandlung nur am Zahn davor durchsetzbar. Dessen Wurzelfüllung erfolgte regulär nach 14 Tagen, neue Terminangebote aber wurden, weil angeblich nicht mehr nötig, verschmäht.
Keine 8 Wochen gingen noch in's Land, bis das mit Macht geschah, was lange schon erwartet war. Das Arbeitsprogramm bestand aus Eröffnung von Zahn 34 und einer Schwellung inkl. Drainage, am nächsten Tag dann noch Aufbereitung des Kanals mit Einlage. 2 Wochen später dann die Füllung plus einem als Resektion deklarierten Auslöffeln des Granu­lationsgewebes durch eine Mini-Öffnung, zu deren Verschluss eine Naht genügte.
3 Aufnahmen sind von 2001, die vierte vom Nov. 2006
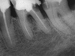
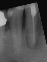
Patient(20):





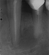
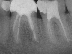
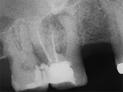
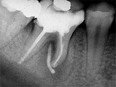
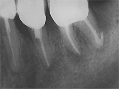
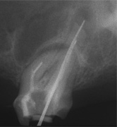
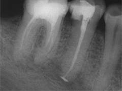
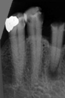
Der umfangreiche kariöse Defekt steuerte sehr bald hin auf die komplette Entfernung des Zahninnen­gewebes mit anschliessendem medikamentösen Wiederverschluss. Aufbissempfindlichkeit am Folgetermin ist immer Aufforderung zur erneuten Intensivsuche nach weiteren Kanälen, die hier einen 4. Ast zum Vorschein brachte. Nach 2 ausgelassenen Terminen
waren vorrangig Wiederherstellung von desinfizierender Einlage und provisorischer Füllung angezeigt. Eine weitere Woche später wurde in allen Kanälen das Medikament durch die endgültige Verschlussmasse ersetzt, worauf Zahn 36 mit 12-tägiger Verzögerung erneut zu rebellieren begann. Das hiess aus den hinteren Wurzeln Füllmaterial wieder raus und
Einlage erneut rein. Als es dann 4 Wochen später bei der hinteren Wur­zel aussen anzuschwellen begann und ein Medikamentenwechsel ohne Wir­kung blieb, wurden die hinteren Ka­näle abgefüllt und auch in gleicher Sitzung das überstopfte Material (Bild 1) mittels Resektion (Bild 2) von aussen entfernt.
Die ersten beiden Aufnahmen sind aus dem Jahr 1999, die 3. von 2006
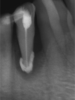
Patient(64):





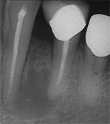
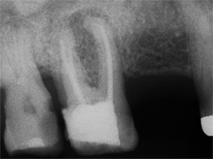
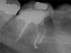
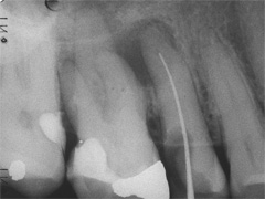
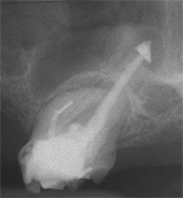
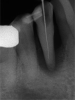
Dieser Zahn wurde schon geraume Zeit zuvor von einer Kollegin im Notdienst eröffnet und anschlies­send mit einer aufwendigen Amal­gamrestauration ästhetisch an­sprechend wieder verschlossen. (Bild 1) Uns blieb noch WK/WF, was bei massiver Überstopfung der hin­teren Wurzel auch gelang (Bild 2).
"Überstopfen ist immer noch besser als Unterstopfen" laut Koçkapan. OK, hier wurde des Guten aber ganz eindeutig zuviel getan.
Also direkt neben dem Zahn das Zahnfleisch ein wenig angehoben und zur Seite gedrängt und dann mit einem scharfen Löffel den Überschuss vollständig entfernt.
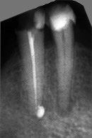
Schon 8 Monate später ist eine deutliche Verbesserung der Gesamt­situation unverkennbar (Bild 3). Verlorengegangene Knochensubstanz wurde in Teilen schon wieder aufge­baut, doch ist noch gar nichts entschieden. Schaun mer also ma'.
Abrechnungstechnisch hat der Mut zur WR an 38 gefehlt, deshalb nur EXZ1.
Patientin(66):





Feststellungen, wie "Das geht nicht!" oder "Völlig unmöglich!" dürfen noch nicht 'mal als Gedanken Einlass finden. Dadurch beraubt man sich selbst durchaus möglicher Erfolgserlebnisse, diese werden dann nicht mehr erlebt und erfahren. Das anfänglich bequeme "Dafür Ist Es Leider Schon Zu Spät" bzw "Das Geht So Nicht Mehr" mutiert langsam, schleichend zum erstrebenswerten, weil deutlich lukrativeren Behandlungsziel: "Mit Implantaten Lässt Sich Das Noch Machen"
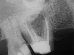
2 Aufnahmen sind von 2002 und die dritte vom 01.11.2010
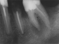
Als Zufallsbefund entdeckter, bis dahin beschwerdefreier apikaler Prozess an Zahn 36. Dessen insgesamt stark verengtes Innenraumsystem gestattete damals in erster Sitzung nur die Darstellung von 2 Kanälen. Wenn intensivstes Weitersuchen erfolglos bleibt, ist dem erfahrenen Behandler irgendwann zumindest so viel über den fehlenden Kanal bekannt: Er kann nicht sehr grosslumig sein und die Weitersuche auf den nächsten Termin zu verschieben ist nicht sehr riskant. Oft genug erlebt, gelingt dann frisch mindreseted und brainrebooted das in Sekunden, was zuvor in 20 min nicht gelingen mochte. So auch hier geschehen, bei der Suche nach dem 3. Kanal.
Patientin(38):





Die linke Aufnahme spiegelt den Erstbefund vom Dezember 99. Auffällig der grosse dunkle Fleck um die Wurzelspitze des mittleren Zahnes, als Resultat des bereits vollzogenen Knochenabbaus. Vermutlich infolge eines, möglicherweise viele Jahre zurückliegenden Traumas, kam es hier wohl zum Abriss der Blutgefässe in Höhe der Wurzelspitze und damit zu einer Unterbrechung der Ernährung des gesamten Pulpen-Gewebes inmitten dieses Zahnes. Nicht mehr ernährtes Gewebe stirb nun mal ab und beginnt sich zu zersetzen.
Manche dieser Zersetzungsprodukte wiederum sind aggressiv genug, um selbst die nächste Runde an Gewebszerstörung einzuleuten. Sich selbst verstärkende Prozesse unterbricht man besser sofort, ganz klar! Nur nicht der Patientin, denn die erschien erst wieder Anfang August 2002 mit leicht geschwollener Oberlippe im Gepäck. Der Rest verlief deutlich konsequenter mit Wurzelfüllung Ende August und Resektion des Gewebes um die Wurzelspitze Mitte September.
Die 2. Aufnahme ist von 2002, die 3. vom 25.06.2010.
Patientin(60):





Eine Patientin, die zum ersten Kennenlernen gleich 4 fette Wurzelkanalbehandungen mitgebrachte.
Dieser rechte Eckzahn meldete sich aber erst 3 Jahre später, weshalb er anfangs auch nicht sonderlich ernst genommen wurde.
Erst wiederholtes Lamentieren machte klar, es müssen schon Massnahmen sein, Vertrösten reicht nicht mehr allein.
Wurzelkanalbehandlung und Resektion wurden innerhalb eines Monats abgearbeitet und sind hier erwähnenswert auch nur vielleicht, weil von Natur aus lange Eckzahnwurzeln intra operationem subjektiv endlos lang werden können und weil hier
der Behandlungserfolg 10 Jahre nach dem Eingriff durch eine neue Aufnahme belegt werden kann. Wie alle anderen Aufnahmen auch,
entstammen auch diese ganz alleine dem alltäglichen Arbeitsprozess. Keine einzige wurde ausschliesslich oder speziell für diesen Internetauftritt angefertigt, was man ihnen, denke ich, hin und wieder auch deutlich ansehen kann.
Auch wurde der Gesamt-Bestand an Rönt­genaufnahmen nicht nach geeigneten Kandidaten durchforstet, sondern die hier gezeigten sind schon 'mal bei früheren Gelegenheiten, aus den verschiedensten Gründen, aufgefallen. Da hier jedesmal auch der viele Jahre später noch messbare Erfolg belegt werden kann, sind es wohl nur die mit den guten Genen.
1 und 2 sind von 2000, die 3. ist vom 10.06.2010
Patient(57):





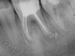
An Zahn 17 hatte sich, vom Patienten unbemerkt, eine Fistel manifestiert. Anlass für eine Übersichtsaufnahme, welche neben 2 gefüllten auch einen ungefüllten Wurzelkanal offenbarte (Bild 1). Der Verursacher der fistelerhaltenden Eiterproduktion war damit identifiziert. Um diesen Prozess zu unterbrechen, wurde in gleicher Sitzung ein Zugang angelegt, der Kanal vermessen, gereinigt, mit Einlage versehen und wieder verschlossen.
Die Behandlung fühlte sich gut an, so war die Fistel geschlossen nach 3 Wochen, als die Wurzel gefüllt wurde. Und dieses gelang trotz Haken-Wurzel fast perfekt (Bild2). Der Patient kam 8 Monate später wieder auf uns zu und bat, um Überbrückung der Lücke davor. Gross geriet das Staunen dann, die Fistel griente uns schon von Weitem an.
Zu tiefst beleidigt gab's hinten-aussen 2 neue Einlagen vor Wiederbefüllung. Und später, um die Brückenkonstruktion nicht zu gefährden, wurden im Anschluss an die Abformung kassenfreundlich, bei bestehender Anästhesie, beide äusseren Wurzeln ihrer Spitzen beraubt. (Bild 3).
Behandlungsspanne ca. 10 Monate
Patient(21):





Erst vier Wochen später folgten die Wurzelfüllungen bei massiver Über­stopfung der mesiobukkalen Wurzel.
Zwischen der ersten und der zweiten Aufnahme liegen 2 Jahre und 4 Monate, bis zur dritten Projektion verstrichen weitere 5 Jahre.
Diesen jungen Mann störte das grosse Loch rechts eigentlich nur beim Essen, ob ich es, bitte, verschliessen könne. Noch nicht bemerkt hatte er, dass sich der Eiter schon seitlich zwischen Zahn und Zahnfleischsaum heraus massieren liess. Angesichts dieser Röntgenaufnahmen verstand er aber, dass man solch 'aus­sichtslosen' Versuch nur wagen kann, wenn er voll mitzieht, was er dann auch tat.
In der ersten Sitzung wurden die drei Wurzelkanäle ausgeschabt, gereinigt und mit einer desinfizierenden Einlage versehen. Das liefert planbare Re­sultate aufgrund eines fast rituellen Abspulens der immer gleichen Arbeits­schritte, exakt nach Plan ohne Ab­weichung, in immer gleicher Rei­henfolge.
Patientin(54):





Der unverzichtbare Kofferdam wird von uns höchst selten eingesetzt. Grund: Beim oberhessischen Urgestein sind häufig mehr als 6, in vielen Fällen sogar unglaubliche 8 Zähne pro Kieferhälfte anzutreffen. Weil mir alle gleich lieb sind, werden alle auch gleich behandelt. Einem Gummilappen wird, bisher völlig unkritisiert, der Imperativ eines Naturgesetzes übergestülpt. Das ist ganz einfach nur Quatsch mit Sosse!
Erfahrungsberichte zur gummierten 8er-WK stecken leider überall fest in den Lektoraten. Für den Berufstarter sicherlich trotz allem eine überlegenswerte Sache, ebenso für jene, die immer schon Qualitätsmanagement ganzheitlich ver­standen und nachhaltig betrieben haben. Wozu auch ein, zumindest während der Lernphase noch mit Risiken behaftetes Verfahren über Jahre hinweg mühsam eintrainieren, wenn viel besser honorierte Verfahren zur Verfügung
stehen, mit denen vergleichbare Ergebnisse vielfach sofort gelingen. Lieber eine Lücke nach erfolgreicher Extraktion mit einem Implantat erfolgreich schliessen, als die Extraktion nach einer erfolglosen Wurzelbehandlung mit einer Brücke zu kaschieren. 2x das gleiche Ergebnis, aber nur 1x erfolgreich
Die 1. Aufnahme ist vom Nov. 2003, die 2. vom Feb. 2005 und die dritte vom 15.11.2010
Patientin(66):





Eine Fistel bei Zahn 15 war Anlass für Bild 1, aufgrund dessen hier eine Standard-Behandlung eingeleitet wur­de. Diese besteht am ersten Termin aus Längenbestimmung, manueller od. maschineller Kanalaufbereitung bis zur ISO-Grösse, bei der trockene, weisse Dentinspäne am Instrument haften und einer anschliessenden H2O2-Spülung (3%).
Der getrocknete Kanal wird nun noch mit einer desinfizierenden Einlage fest verschlossen. 7 Tage später kann das Medikament herausgespült, der Kanal ge­trocknet und definitiv verfüllt werden. Damit ist schon die komplette Vorgehensweise im vor­liegenden Fall umfassend wie­dergegeben.
Fazit: Sehr gute Ergebnisse lassen sich mit fast allen medikamentösen Einlagen erzielen. Wir verwenden wir Ca(OH)2 nicht, wegen seiner geringen Desinfektionswirkung, und, weil es höllisch schmerzt, wenn es über die Wurzelspitze hinaus gelangt. Ohne Einfluss ist die Methode, mit der das Guttapercha in den Kanal eingebracht wird.
2 Aufnahmen sind von 2004 und die dritte ist von 2006
Patientin(31):







Diese Patientin kam 1997 mit Schmerzen unter einer fest­sitzenden Brücke in unsere Praxis. Eine Übersichtsaufnahme (Bild links) lieferte die Informationen. Der hintere Pfeilerzahn ihrer, bis zum Eckzahn reichenden Brücke, wies gleich 3 Problemzonen auf, gleichmässig über alle Wurzeln verteilt: Ein Kanal war unvollständig, ein anderer überhaupt nicht abgefüllt und den dritten verstopfte ein Instrument. Jeder Zahnarzt, der in diesem Bereich Wurzelkanalbehandlungen anbietet, kennt die Crux mit dem Instrumentenbruch. Oft bleibt dies folgenlos, da Instrumente steril sind, im Gegensatz zur Paste, mit der die Kanäle abschliessend verfüllt werden.
Da aber der Verlust dieses Zahnes unweigerlich zu einer herausnehmbaren Prothese geführt hätte, war hier die Marschrichtung vorgegeben. Wie sonst nur selten gelang der Einstieg gleich ganz wunderbar: Die Brücke liess sich nicht nur leicht und unversehrt abnehmen, sie gab auch die Direktsicht auf 2 Kanaleingänge frei. Mit soviel Glück gesegnet, fiel dann die Entscheidung, die Inspektion des verstopften dritten Kanals auf den nächsten Termin und dann auf irgendwann vielleicht zu verschieben, wirklich nicht sehr schwer.
Die ersten 3 Aufnahmen dieser Serie entstanden 1997, während die vierte am 29. November 2010 angefertigt wurde.
und man hat ausser Erfahrung nichts dazu gewonnen.
Den aller schlechtesten Verlauf jedoch, das ist gewiss, nehmen die Revisionen, die gar nicht erst versucht werden.
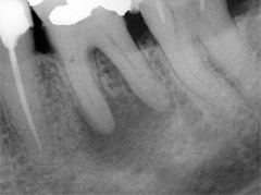
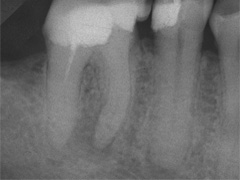
Ein wenig spektakulärer Fall mit unvollständiger WK-Behandlung. Die 4 Kanäle waren sämtlich leicht zugänglich und ganz einfach aufzubereiten, im Nachhinein konnten keine ungewöhnlichen Erschwernissse mehr festgestellt werden.
Patientin(47):
Natürlich gelingt nicht jede Revision so gut, wie diese hier. Nicht immer lassen sich so deutliche Verbesserungen er­zielen. Manchmal scheitert man ganz genau da, wo es andere vorher auch schon taten





Patientin(20):

Dieser untere rechte Weisheitszahn (48) wollte erst geteilt werden, bevor er sich aus seiner Nische im Kieferwinkel befreien liess. Kein ganz einfacher Bursche also... weshalb er nun, stellvertretend für seine Artgenossen, hier mit mir das einzig Interessante in diesem Zusammenhang verkünden muss:
In meinem, inzwischen nun auch schon 23 Jahre währenden Berufsleben, ist mir bisher im Gefolge einer Weisheitszahnentfernung noch niemals eine Kieferklemme ge(miss-)lungen.
Das führe ich zurück auf die Methode 'Illmann', einer speziellen Art der Wundnachsorge, deren Vorzüge ich schon als Assistenzarzt bei meinem damaligen Chef ZA Illmann(†) kennen lernen durfte.
Patient(18):



und manchmal kommt einfach auch noch das gewisse Quentchen Glück hilfreich hinzu,
so wie hier, bei diesem jungen Mann...
keine 4 Jahre liegen zwischen beiden Aufnahmen.